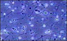
Studies on male smoking have shown a decrease in the quality of sperm. Sperm motility refers to the swimming capability of sperm. If sperm cannot swim properly, they may have trouble reaching the egg and fertilizing it. In men who smoke, researchers found a decrease in sperm motility.

Sperm morphology refers to the shape of sperm. Oddly shaped sperm may not swim well enough to get to the egg and may not be able to fertilize an egg. Male smokers have fewer healthy shaped sperm than non-smokers.

Smoking can also cause severe DNA damage to sperm. This can occur when the bonds between the DNA molecules break.

Smoking cigarettes can impair woman’s fertility. Smoking affects how receptive the uterus is to the embryo. Experts strongly suggest quitting smoking before you’re pregnant. Smoking while pregnant increases the risk of miscarriage.

Becoming a non-smoker increases the possibility of conceiving through IVF, and reduces the likelihood of having a miscarriage. Most importantly, it improves the chances of giving birth to a healthy baby.

Sources: WebMD, American Journal of research communication

Smoking affects fertility:

Smoking can affect sperm quality: